경동맥 초음파 검사로 알수있는병 정보가 궁금하시다면 잘 오셨네요.
아래 정리한 정보들을 잘 확인해보시기 바랍니다.
추가로 관련된 전문가 영상은 꼭 시청해보세요.



✅경동맥 초음파 검사로 알수있는병
초음파로 건강검진을 하면 우리 몸에 다양한 상태를 확인할 수 있습니다.
경동맥 초음파 검사로 알수있는병 정보가 궁금하다면 아래 전문의 영상을 시청해보시기 바랍니다.
전문의사라 가장 정확한 정보를 제공합니다.
약간의 시간을 투자해서 영상 시청 하시면 경동맥 초음파 검사로 알수있는병 정보를 확인하실 수 있습니다.
꼭 시청해보세요!
아래 영상 클릭하면 재생 됩니다.



경동맥의 중요성
우리 몸에서 경동맥은 혈액을 목에서 머리와 내장기관으로 공급하는 중요한 혈관 중 하나입니다. 그렇기 때문에 경동맥의 상태는 우리 건강에 큰 영향을 미칩니다. 경동맥이 혈관 벽에 콜레스테롤과 혈액응고물질이 쌓여 동맥경화가 진행되면 뇌졸중과 같은 심각한 문제가 발생할 수 있습니다.



경동맥 초음파 검사의 원리
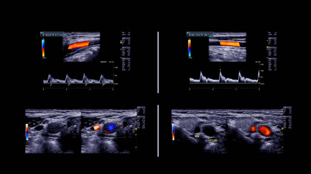
경동맥 초음파 검사는 초음파 기계를 사용하여 경동맥의 상태를 확인하는 검사입니다. 이 검사는 무해하고 비침습적이며, 빠르게 수행할 수 있어 환자에게 불편함을 주지 않습니다. 검사 과정은 다음과 같습니다.
- 환자는 안정된 자세로 앉거나 누워서 검사를 받습니다.
- 의사나 초음파 기술자는 초음파 젤을 사용하여 목 부위에 초음파 프로브를 적용합니다.
- 초음파 프로브는 고주파 소리파장을 방출하여 경동맥의 이미지를 생성합니다.
- 이미지를 컴퓨터 모니터에 표시하여 의사가 경동맥의 상태를 시각적으로 확인할 수 있습니다.



경동맥 초음파 검사로 알수있는병 - 검사 결과 해석
검사 결과를 해석할 때, 의사는 다음 사항을 고려합니다.
- 경동맥의 크기와 형태: 경동맥이 충분히 넓고 매끄럽게 유지되는지 확인합니다.
- 혈류 속도: 혈액이 경동맥을 흐르는 속도를 측정하여 혈액순환에 이상이 없는지 확인합니다.
- 혈액 응고물질의 존재: 콜레스테롤과 혈액 응고물질이 경동맥 벽에 쌓여 있는지 확인합니다.



경동맥 초음파 검사로 알수있는병
경동맥 초음파 검사는 다음과 같은 경우에 고려됩니다.
- 고혈압, 당뇨병, 고지혈증과 같은 심혈관 질환 위험이 있는 사람들
- 가족 중에서 심혈관 질환의 가족력이 있는 경우
- 최근에 뇌졸중이나 심장혈관 이상 증상을 겪은 사람들
이런 경우에 경동맥 초음파 검사를 통해 동맥경화나 협착을 확인하고 예방조치를 취할 수 있습니다.






경동맥 초음파 검사로 알수있는병 마무리
경동맥 초음파 검사는 간단하면서도 환자의 건강을 신속하게 확인할 수 있는 중요한 검사 중 하나입니다. 정기적인 검사와 건강한 생활습관을 유지하면서 동맥의 건강을 지속적으로 관리하는 것이 중요합니다. 만약 이와 관련된 질문이나 의문이 있다면, 언제든지 의료 전문가와 상담하시는 것을 추천드립니다.



